Reimagining Dental Bonding: Predictable Restorations for Patients

Howard E. Strassler, DMD; Qoot Alkhubaizi, BSc, BChD, MFDRCS Irel, MS, ABGD; and Nisha Ganesh, DDS

October 2018 Course - Expires Sunday, October 31st, 2021

Compendium of Continuing Education in Dentistry

Abstract

This article will present an update on the current generation of resin adhesives and the wide variety of restorations that can be placed with them. The article will review adhesive systems and describe their various classifications, from earlier generations to the etch-and-rinse, self-etch, and universal adhesives of today. It will then explain the clinical applications for different adhesive systems. Adhesion to dentin will be considered in relation to dependence on dentin substructure. The relation of dental adhesives to postoperative sensitivity also will be considered. Finally, consensus recommendations for dental adhesives will be presented. Because of the variety of systems and techniques that are now in use, the article will emphasize the need to follow manufacturer's directions.

You must be signed in to read the rest of this article.

Login Sign Up

Registration on CDEWorld is free. You may also login to CDEWorld with your DentalAegis.com account.

The adhesive placement of direct composite-resin restorations is the standard in restorative dentistry. In the most recent yearlong Survey of Dental Services Rendered by the American Dental Association, an estimated 146 million composite restorations and sealants were placed in the United States.1 Heintze and Rousson estimated that more than 261 million direct composite-resin restorations were placed worldwide in 2012.2

In recent years, there have been advancements in resin adhesives being used for direct-placement composite resins. There are three major classes of resin adhesives: etch and rinse (E&R), self-etch (SE), and universal adhesives (UA).3,4 The techniques for each of these adhesives are different and require attention to detail by the practitioner to achieve the desired clinical results. The trend for direct-placement composite resin is the use of light-cured nano-hybrid and nano-filled composites.5 These composites have improved physical properties, demonstrating clinical success and effectiveness.

Adhesive Placement of Composites: A Systems Approach

More than 60 years ago, Buonocore described the use of a diluted phosphoric-acid liquid treatment to enamel to etch the enamel surface, and roughening the surface to create microporosities that allowed an unfilled, self-cured acrylic resin to be retained to that surface.6 When the resin had polymerized, it mechanically locked to the enamel surface, forming small "tags" that extended into 10 to 40 µm-deep enamel microporosities. The clinical success of enamel adhesive bonding has been well-documented.7,8

Hard-tissue tooth substrates that are prepared for restorations consist of both enamel and dentin. Although enamel adhesion has been well established, the development of a dentin adhesive has been more challenging. Barkmeier described the fundamentals for predictable and successful bonding to include: 1) the procedure must be safe and biologically acceptable; 2) the level of bond strength must be clinically significant to avoid discoloration at the margins and prevent secondary caries; 3) the bond strength must be reproducible so it can be routinely achieved at a predictable level for clinical success; 4) the bond must be established quickly for immediate finishing; and 5) the bond must be clinically stable for a significant period of time.9

Successful adhesive restoration placement requires attention to details. Adhesives work best on a clean, dry tooth. Tooth isolation is critical to the success of the adhesive bond between tooth and composite resin. Before tooth preparation, the surfaces of the tooth that will be restored should be cleaned with a paste of pumice water or a prophylaxis paste to remove extrinsic stain and biofilm. Tooth preparation must be consistent in the removal of compromised enamel and dentin and must fulfill the requirements for the composite resin being placed. Surface treatments of the tooth structure should follow the manufacturer's recommendations. Adhesive and composite placement is critical to the success of the restoration and for delivering adequate energy to the composite resin to ensure optimal photopolymerization.10 Finally, the composite resin should be finished and polished to eliminate composite excesses and be compatible with the anatomy of the tooth being restored.

Current Classification of Adhesive Systems

The descriptions of different adhesive systems have not been standardized. Often a product has had unique instructions, and in some cases, the name of the product category could not be compared to other similar products. It was not uncommon for manufacturers to describe the latest bonding agent based on a generational timeline for development. The earliest adhesives, primarily enamel-only bonding agents, were referred to as first or second generation. The contemporary adhesives that required etching with phosphoric acid that combined hydrophilic monomers such as hydroxetyl methacrylate (HEMA) with hydrophobic monomers (Bis-GMA) were being recommended for both enamel and dentin adhesion and were referred to as fourth- or fifth-generation systems. Research articles did not have a consistent labeling system. Fourth-generation bonding systems referred to use of phosphoric-acid etching followed by a separate dentin primer and then adhesive resin painted on the etched dentin and enamel (multi-bottle). Fifth-generation bonding systems used the same phosphoric-acid etchant, but the primer and adhesive were combined in one bottle (single bottle). To respond to a greater simplification in bonding techniques, researchers and manufacturers developed self-etching bonding systems. These self-etching adhesives eliminated the pretreatment of the enamel and dentin with phosphoric acid by incorporating acidic monomer in the primer or into the primer/adhesive components.3 These new systems were referred to as sixth generation (multi-bottle SE adhesives) and seventh generation (single-bottle SE adhesives). However, using generational descriptions does not provide adequate information to understand the chemistry and clinical technique of an adhesive resin.

Whether an adhesive requires a separate etching step with phosphoric acid or uses an acidic primer, the surface treatment result of the enamel and dentin is similar.11 Van Meerbeek and coworkers described a rational classification of resin adhesives based on the technique for surface treatment before composite placement.12 At the time there were two distinct categories, E&R (separate use of phosphoric acid etching pretreatment of the tooth surface) and SE adhesive (SEA) (the adhesive is left on the tooth surface; there is no rinsing). In recent years, several manufacturers have introduced a hybrid of an E&R and SEA system, now referred to as a UA.4,13-15 A modification of Van Meerbeek's classification system may now include UA (Table 1).

E&R refers to any adhesive system that requires a pretreatment of the tooth structure with a phosphoric-acid etchant before adhesive application. The etchant is rinsed from the tooth surfaces with a water spray or an air-water spray. The tooth is then dried by indirect air or a pellet. The E&R technique leaves an enamel surface with a morphology that is microscopically roughened to allow a mechanical bond between the enamel and dentin and the adhesive. The 10% to 40% phosphoric-acid etchant removes the smear layer of the enamel and dentin that was created by the tooth preparation. E&R adhesives are supplied as either multiple-bottle systems; a separate bottle for the dentin primer (solvent and HEMA) and a separate bottle for the adhesive resin, referred to as a three-step etch and rinse (3-E&R); or a single bottle or unit-dose dispensing that contains both dentin primer and adhesive resin, also referred to as a two-step etch and rinse (2-E&R). For 3-E&R adhesives, before adhesive application, the dentin is rewetted with water, leaving a slightly damp and glossy surface. For many 2-E&R adhesives, there is water in the adhesive and no need to moisturize the dentin. In vitro and in vivo research have shown that E&R adhesives can reliably bond to enamel and dentin.16,17

SEA systems provide a simplification to the adhesive process by eliminating the separate etching step and the rinsing and drying of the tooth structure. SEAs use an acidic monomer in a HEMA/water-based adhesive to etch the tooth surfaces. The acidic monomer can be incorporated into a separate SE primer and resin adhesive, a two-step SEA (2-SEA), or a single-step application of the SEA (1-SEA). The self-etching acidic monomer remains on the tooth and incorporates the smear layer of the enamel and dentin that was created by the tooth preparation in the adhesive. There is no rinsing, just air-thinning and evaporation of solvent from the adhesive. Single-step application adhesives may be in two different forms: a single bottle or a mix of two components before a single-step application. Many of the 1-SEA products are available in unit dosing. SEAs contain water so there is no need for a rewetting step to the dentin during restoration.18 The clinician should be aware of the instructions for use from the manufacturer when selecting clinical applications of the SEA systems. Resin adhesion to dentin involves the resin penetrating the dentin after etching.

Research has shown the SEAs provide equivalent resin hybridization and infiltration of the dentin as has been reported with E&R adhesive systems. Randomized controlled trials have demonstrated clinical success with a 2-SEA adhesive.19 There has been concern about the ability of an SEA system to adequately etch the enamel surface and provide retentive adhesion to enamel. SEAs have been shown to be less aggressive at etching enamel than the pretreatment of enamel with a phosphoric-acid etchant when the enamel morphology was viewed with microscopy.20,21 The morphology of the etched enamel and the adhesive interface is product dependent and does not translate into a reduced enamel bond.21

Concerns about the effectiveness of SEA systems bonding to unprepared and prepared enamel have led to the introduction of modified chemistries and the evolution of UA.4,15,16 UAs are provided in a single bottle, or dispenser, and may be selected for use with an E&R, SEA, or selective-etch technique. The selective-etch technique has the enamel selectively etched with phosphoric acid followed by the application of the UA to the enamel and dentin surfaces. UAs and SEAs share similar chemistry, wherein the dentin is etched with the placement of the UA on the previously etched enamel surface and dentin. In fact, UAs are modified chemistry of an SEA, so they also allow for use without etching the enamel, using the criteria for clinical applications in Table 2 for SEAs. Research has shown that UAs are equivalent to E&R and SEA systems in adhesion values.4,15,22,23 The modified chemistry and ability of UA to be used for all restorative situations represents a very promising change that has the potential to dominate the adhesive selection of dentists.4

Clinical Indications for Different Adhesive Systems

Clinical applications for all resin adhesives is product specific based on the instructions for use for each specific adhesive (Table 2).24 One cannot generalize that adhesive techniques are equivalent for all clinical treatments that use a bonding technique. The clinical indications for use of the different adhesive systems are defined by the effectiveness of the surface treatment of enamel and dentin, the seal created, and whether the adhesive interface is adequate to retain a restoration. Based on the current evidence, it has been recommended by some that for light-cured composite restorations, SEA is clinically acceptable for restoring Class I, II, III, and V restorations. SEA can be used for primarily enamel adhesion and retention using a selective-etching technique for the enamel.25,26

For all clinical applications for direct, light-cured composite applications, an E&R and UA can be used for sealant placement; all classes of tooth preparations, including restoring Class IV incisal-edge fractures; esthetic facial veneering and diastema closures with direct composite resin; bonding porcelain veneers; and fiber-reinforced splints (Figure 1 through Figure 14). As more clinical evidence becomes available, these recommendations may change.

For light-cured composite placement with minimally invasive tooth preparations, routine cavity preparations, restorations that rely on primarily enamel retention (such as Class IV traumatic incisal-edge fractures), and porcelain veneers, recommendations for adhesive selection are based on the primary retentive tooth structure being used for the bonded adhesive/composite restoration. Table 2 shows how to pair adhesive systems with the clinical condition being restored.24 As more clinical evidence becomes available, these recommendations may change.

Although the majority of direct-placement composite resins are light-cured, there is still a predominant use of self-cure and dual-cure composite resins as core foundations for fixed pros-
thodontics. It is recommended for cementation of all-ceramic restorations that a self-cure or dual-cure composite-resin cement be used. Recent inquiry has focused on the compatibility of E&R single bottle, UA, and SEA with self-cure and dual-
cure core composites. There is contradictory evidence on the ability of E&R single-bottle adhesives and SEAs to create an adequate resin interface to resist the forces of occlusion.27,28 In the last 8 years, chemical additives have been introduced as a separate step or a change in chemistry of these adhesives to address this concern. E&R, SEA, and UA can be used with dual- and self-cure composites if the manufacturer describes the product as clinically compatible/clinically indicated in the instructions for use insert. It is the responsibility of the clinician to review the instructions for use of an adhesive to identify its compatibility with self-cure and dual-cure composite resins.

Considerations for Adhesion to Dentin: Dependence on Dentin Substructure

In clinical practice, variation in the surface structure of enamel and dentin is encountered. The structure and surface changes of the enamel and dentin can affect the adhesive interface. Although enamel is primarily a crystalline substrate with a composition by volume of 86% inorganic, 2% organic, and 10% water, dentin has more than twice the volume of water (25%) and a 25% organic component. The high volume of water within dentin's tubular network created significant challenges for adhesion.29 The early generation Bis-GMA resins used for enamel adhesion were hydrophobic and would not adequately wet the dentin. The addition of hydrophilic monomer, usually HEMA, to the hydrophobic monomer (Bis-GMA) allowed the current chemistries for resin adhesives to adequately bond to dentin by creating a hybrid zone within the peritubular dentin and dentinal tubules.30

There have been concerns of a continuous degradation of dentin adhesion over time and a wide variation of dentin bonding effectiveness between systems.18,31 Auto-degradation of collagen matrices with the hybrid layers created by the slow action of matrix metalloproteinases (MMPs) has been reported with contemporary E&R and SEA.18,32,33 To combat this degradation, different strategies using cross-linking agents, such as chlorhexidine (CHX), have been successfully used to inhibit MMPs.32,33 The use of a 2% CHX conditioner has been shown to be effective in inhibiting dentin bonding degradation.34-36 Other MMP inhibitors, quaternary ammonium methacrylates, benzalkonium chloride, and carbodiimide have also been effective in stabilizing dentin adhesion.37-39The addition of MMP inhibitors directly to an SEA has also been demonstrated to be effective in stabilizing dentin adhesion.40

The structure of enamel and dentin can have an impact on treatment recommendations. In most instructions for use for E&R adhesives, enamel is etched for 15 to 30 seconds and dentin for 15 seconds. Recent research has shown that normal dentin for younger patients has a different structure than dentin for older patients (55 to 60 years and older).41 These studies recommend an increase in etching time of 30 seconds for sclerotic dentin. Fluorosed enamel and dentin are more resistant to etching and adhesion than normal enamel and dentin. To enhance bonding for fluorosed enamel, it is recommended that the enamel be prepared with a carbide or diamond bur.42

Discolored dentin can be a result of residual caries, caries-affected dentin, or amalgam discoloration. The use of caries-detecting dyes has been recommended by some to visualize caries so it can be removed. The residual and invisible caries-detecting dye impacts dentin adhesive negatively.43 Also, adhesion values to caries-affected dentin are lower compared with normal dentin.44 Harnirattisai et al reported that the adhesion to normal dentin and amalgam-affected dentin with E&R and SEA was equivalent.45

Tooth whitening is a well-accepted esthetic treatment modality. Whitening both in-office and at home is accomplished with a hydrogen-peroxide or carbamide-peroxide bleaching agent. Studies investigating resin adhesion and bleaching have reported that waiting at least one week after bleaching with an active peroxide agent is necessary to prevent any negative consequences when using either an E&R or SEA bonding agent.46,47

Postoperative Sensitivity and Dental Adhesives

Given the scope of this article, it is appropriate to address postoperative sensitivity related to posterior composites. Postoperative sensitivity with posterior composite restorations has been problematic over the years. Recently, for posterior composite-resin restorations, there has been a trend to use SEA to reduce postoperative sensitivity.48 In a clinical follow-up for composite-resin restorations, it was found that postoperative sensitivity increased with the depth of the cavity preparation, and it was suggested that the type of bonding agent used could be responsible for postoperative sensitivity.49 Several different studies evaluated postoperative sensitivity using both E&R and SEA.50-54 The results of these studies demonstrated no difference in postoperative sensitivity between the two types of adhesive. Furthermore, the conclusion of one study stated that postoperative sensitivity may depend on the restorative technique and variability among operators rather than on the type of enamel-dentin adhesive used.50 One area of inconsistency in the clinical studies with E&R bonding has been the bonding potential to desiccated dentin.55,56 Some adhesives require the dentin be very lightly dampened with water before adhesive application. With the inherent nature of SEA as no rinse, leaving the dentin surface moist, it has been hypothesized that this may contribute to minimizing postoperative sensitivity.57 In a systematic review on the risk and intensity of postoperative sensitivity in posterior composite restorations bonded with E&R and SEA, it was found that the type of adhesive being used does not influence the risk and intensity of postoperative sensitivity.58

Consensus on Recommendations for Dental Adhesives

Medical-dental consensus is a public statement on a particular aspect of medical-dental knowledge on which a representative group of experts have convened and agreed to as an evidence-based and state-of-the-science statement.1 During the 5th International Symposium on Light Sources in Dentistry, organized by Richard B. Price, DDS, PhD, held at the Faculty of Dentistry of Dalhousie University, in Halifax, Nova Scotia, Canada, June 19 to 20, 2017, the topic under discussion was "Adhesive Dentistry." The attendees of the symposia over the last 5 years have included groups of key opinion leaders who represent dentists, academics-researchers, and company representatives who have discussed relevant topics in restorative dentistry. Each year they have created evidence-based guidelines for laboratory research and clinical treatment. The 2017 Consensus guidelines from the symposium provide clinicians, researchers, and manufacturers with several steps and suggestions to help the general dentist provide patients with clinically successful adhesive restorative procedures. They are outlined below and available by clicking here: 2017 Bonding Guidelines.

1. Follow the adhesive manufacturer's instructions. Bonding systems/agents are not all the same. Some bonding agents are incompatible with dual-cure resins. Also, do not use expired products or products that are not licensed for use in one's country.

2. Do not dispense the bonding agent until it is ready to be used. If the volatile solvent in the adhesive evaporates before the adhesive is applied to the tooth, this will reduce the bond strength. If using bottles of adhesive agents, always replace the tops of bottles to reduce the amount of evaporation of the volatile solvents.

3. For successful bonding, there must be complete control of bleeding, sulcular fluids, saliva, moisture, the tongue, and cheeks. Avoid contaminating the bonding surfaces with hemostatic agents.

4. Prepare peripheral tooth structure to reach sound (non-demineralized) enamel and hard dentin. Hard, sclerotic dentin should be roughened with a dental bur. Always etch the enamel with phosphoric acid, even when using a self-etching adhesive.

5. If one thinks that cavity disinfection is required, use only products that are approved by the manufacturer of the adhesive resin. Never use a peroxide-containing product in the cavity before adhesive bonding.

6. Most instructions recommend leaving dentin moist before applying the bonding agent. However, tooth surfaces that are wet with saliva or blood should be considered contaminated.

7. To maximize bond strengths, the bonding agent should be scrubbed into the dentin/enamel according to the manufacturer's instructions. Reapply if necessary; do not rush this step.

8. If the tooth surface becomes contaminated with blood or saliva, do not proceed. Instead, rinse and dry the surface. Then reapply the bonding agent as described in the product's instructions for use. Some products also require re-etching the enamel.

9. It is critical to use a clean and dry air source to gently evaporate the solvent from the adhesive agent and to air-thin the adhesive. Gently evaporate the solvent from all regions of the tooth with moderate air pressure until there is no movement and the surface is shiny. Some bonding agents require longer drying times than others. Some regions of the tooth are more challenging to reach than others, so carefully inspect these hard-to-reach areas for pooling of adhesive or inadequate adhesive coverage.

10. Carefully place the composite as soon as possible after light-curing the adhesive. Avoid introducing voids.

11. To keep instruments clean, use a damp alcohol wipe. Never dip instruments into the bonding agent because the uncured bonding agent may then be incorporated into the composite. This will both weaken and discolor the composite.

12. Know one's curing light. Regularly check that the light is in good working order.

13. Use and position the light correctly so that all bonding surfaces receive sufficient light. Class II restorations will benefit from additional light-curing from the buccal and lingual surfaces after removing the matrix.

14. To avoid overheating the pulp, do not use a high-power light where the dentin is thin. If needed, use cooling techniques to prevent overheating the pulp when light-curing.

Conclusion

A wide variety of adhesive systems have been introduced during the last 3 decades. The complexities in the instructions for use of many bonding systems require an attention to detail in following the manufacturer's directions. Bonding systems are not equal, so a new bonding system cannot be used in the same manner as one that has been used in the past. The recent introduction of UA provided the practitioner with an adhesive system that takes advantage of a variety of technique choices to fit many clinical applications. Whichever system the clinician selects to use, one should follow the manufacturer's recommendations for clinical applications to ensure clinical success.

About the Authors

Howard E. Strassler, DMD
Professor, Department of General Dentistry, University of Maryland Dental School, Baltimore, Maryland

Qoot Alkhubaizi, BSc, BChD, MFDRCS Irel, MS, ABGD
Clinical Assistant Professor, Director of Advanced Education General Dentistry, Department of General Dentistry, University of Maryland Dental School, Baltimore, Maryland

Nisha Ganesh, DDS
Clinical Assistant Professor, Department of General Dentistry, University of Maryland Dental School, Baltimore, Maryland

References

1.American Dental Association Survey Center. 2005-06 Survey of Dental Services Rendered. Chicago, IL: American Dental Association; 2007:1-181.

2. Heintze SD, Rousson V. Clinical effectiveness of direct class II restorations: a meta-analysis. J Adhes Dent. 2012;14(5):407-431.

3. Ozer F, Blatz MB. Self-etch and etch-and-rinse adhesive systems in clinical dentistry. Compend Contin Educ Dent. 2013;34(1):12-18.

4. Alex G. Universal adhesives: the next evolution in adhesive dentistry? Compend Contin Educ Dent. 2015;36(1):15-26.

5. Palaniappan S, Elsen L, Lijnen I, et al. Nanohybrid and microfilled hybrid versus conventional hybrid composite restorations: 5-year clinical wear performance. Clin Oral Investig. 2012;16:181-190.

6. Buonocore MG. A simple method of increasing the adhesion of acrylic filling materials to enamel surfaces. J Dent Res. 1955;34(6):849-853.

7. Strassler HE. Applications of total-etch adhesive bonding. Compend Contin Educ Dent. 2003;24(6):427-436.

8. Strassler H. Long term clinical evaluation of Cerinate porcelain veneers. J Dent Res.2005;84(Special Issue A): abstract no. 432.

9. Barkmeier WW. Current status of adhesives in dentistry. J Indiana Dent Assoc.1985;64(1):16-19.

10. Ferracane JL, Watts DC, Barghi N, et al. Effective use of dental curing lights: a guide for the dental practitioner. ADA Professional Product Review. 2013;8(2):2-12.

11. Van Meerbeek B. Mechanism of resin adhesion: dentin and enamel bonding. Advanced Esthetics & Interdisciplinary Dentistry. 2008;2(1):18-25.

12. Van Meerbeek B, De Munck J, Yoshida Y, et al. Buonocore memorial lecture. Adhesion to enamel and dentin: current status and future challenges. Oper Dent.2003;28:215-235.

13. Perdigão J, Loguercio AD. Universal or multi-mode adhesives: why and how? J Adhes Dent. 2014;16(2):193-194.

14. Wagner A, Wendler M, Petschelt A, et al. Bonding performance of universal adhesives in different etching modes. J Dent. 2014;42(7):800-807.

15. Chen C, Niu LN, Xie H, et al. Bonding of universal adhesives to dentine--old wine in new bottles? J Dent. 2015;43(5):525-536.

16.Peumans M, Kanumilli P, De Munck J, et al. Clinical effectiveness of contemporary adhesives: a systematic review of current clinical trials. Dent Mater. 2005;21(9):864-881.

17. Inoue S, Vargas MA, Abe Y, et al. Microtensile bond strength of eleven contemporary adhesives to enamel. Am J Dent. 2003;16(5):329-334.

18. Garcia-Godoy F, Tay FR, Pashley DH, et al. Degradation of resin-bonded human dentin after 3 years of storage. Am J Dent. 2007;20(2):109-113.

19.Peumans M, De Munck J, Van Landuyt K, Van Meerbeek B. Thirteen-year randomized controlled clinical trial of a two-step self-etch adhesive in non-carious cervical lesions. Dent Mater. 2015;31(3):308-314.

20. Perdigão J, Geraldeli S. Bonding characteristics of self-etching adhesives to intact versus prepared enamel. J Esthet Restor Dent. 2003;15(1):32-41.

21. Abdalla AI, El Zohairy AA, Abdel Mohsen MM, Feilzer AJ. Bond efficacy and interface morphology of self-etching adhesives to ground enamel. J Adhes Dent.2010;12(1):19-25.

22. da Rosa WL, Piva E, da Silva AF. Bond strength of universal adhesives: a systematic review and meta-analysis. J Dent. 2015;43(7):765-776.

23. Zhand Z, Tian FC, Niu LN, et al. Defying ageing: an expectation for dentine bonding with universal adhesives? J Dent. 2016;45:43-53.

24. Strassler HE, Mann M. Dental adhesives for direct placement composite restorations: an update. Dental Academy of Continuing Education. https://www.dentalacademyofce.com/courses/2192/PDF/1108cei_dentsply_Adhesives.pdf. Published September 2011. Accessed August 7, 2018.

25. Peumans M, De Munck J, Van Landuyt K, et al. Five-year clinical effectiveness of a two-step self-etching adhesive. J Adhes Dent. 2007;9(1):7-10.

26. Frankenberger R, Lohbauer U, Roggendorf MJ, et al. Selective enamel etching reconsidered: better than etch-and-rinse and self-etch? J Adhes Dent. 2008;10(5):339-344.

27. Cheong C, King NM, Pashley DH, et al. Incompatibility of self-etch adhesives with chemical/dual-cured composites: two-step vs. one-step systems. Oper Dent.2003;28(6):747-755.

28. Tay FR, Pashley DH, Yiu CK, et al. Factors contributing to the incompatibility between simplified-step adhesives and chemically cured or dual-cured composites. Part 1. Single-step self-etching adhesive. J Adhes Dent. 2003;5(1):27-40.

29. Van Meerbeek B, Inoue S, Perdigão J, et al. Enamel and dentin adhesion. In: Summit JB, Robbins JW, Schwartz RS, eds. Fundamentals of Operative Dentistry: A Contemporary Approach. 2nd ed. Chicago, IL: Quintessence Books; 2001:178-235.

30. Marghalani HY, Bakhsh T, Sadr A, Tagami J. Ultramorphological assessment of dentin-resin interface after use of simplified adhesives. Oper Dent. 2015;40(1):E28-E39.

31. DeMunck J, Van Meerbeek B, Yoshida Y, et al. Four-year water degradation of total-etch adhesive bonded to dentin. J Dent Res. 2003;82(2):136-140.

32. Moon PC, Weaver J, Brooks CN. Review of matrix metalloproteinases' effect on the hybrid dentin bond layer stability and chlorhexidine clinical use to prevent bond failure. Open Dent J. 2010;4:147-152.

33. Mazzoni A, Scaffa P, Carrilho M, et al. Effects of etch-and-rinse and self-etch adhesives on dentin MMP-2 and MMP-9. J Dent Res. 2013;92(1):82-86.

34. Scheffel DLS, Hebling J, Scheffel RH, et al. Inactivation of matrix-bond matrix metalloproteinases by cross-linking agents in acid-etched dentin. Oper Dent. 2014;39(2):152-158.

35. Stanislawczuk R, Amaral RC, Zander-Grande C, et al. Chlorhexidine-containing acid conditioner preserves the longevity of resin-dentin bonds. Oper Dent. 2009;34(4):481-490.

36. Stanislawczuk R, Reis A, Loguercio AD. A 2-year in vitro evaluation of a chlorhexidine-containing acid on the durability of resin-dentin interfaces. J Dent. 2011;39(1):40-47.

37. Sabatini C, Patel SK. Matrix metalloproteinase inhibitory properties of benzalkonium chloride stabilizes adhesive interfaces. Eur J Oral Sci. 2013;121(6):610-616.

38. Mazzoni A, Apolonio FM, Saboia VP, et al. Carbodiimide inactivation of MMPs and effect on dentin bonding. J Dent Res. 2014;93(3):263-268.

39. Tezvergil-Mutluay A, Agee KA, Uchiyama T, et al. The inhibitory effects of quaternary ammonium methacrylates on soluble and matrix bond MPPs. J Dent Res.2011;90(4):535-540.

40. Zhou J, Tan J, Yang X, et al. Effect of chlorhexidine application in a self-etching adhesive on the immediate resin-dentin bond strength. J Adhes Dent. 2010;12(1):27-31.

41. Lopes GC, Vieira LC, Araújo E, et al. Effect of dentin age and acid etching on dentin bonding. J Adhes Dent. 2011;13(2):139-145.

42. Ermis RB, De Munck J, Cardoso MV, et al. Bonding to ground versus unground enamel in fluorosed teeth. Dent Mater. 2007;23(10):1250-1255.

43. Singh UP, Tikku AP, Chandra A, et al. Influence of caries detection dye on bond strength of sound and carious affected dentin: an in-vitro study. J Conserv Dent.2011;14(1):32-35.

44. Ceballos L, Camego DG, Victoria Fuentes M, et al. Microtensile bond strength of total-etch and self-etching adhesives to caries-affected dentin. J Dent. 2003;31(7):469-477.

45. Harnirattisai C, Senawongse P, Tagami J. Microtensile bond strengths of two adhesive resins to discolored dentin after amalgam removal. J Dent Res. 2007;86(3):232-236.

46.Godwin JM, Barghi N, Berry TG, et al. Time duration for dissipation of bleaching effects before enamel bonding. J Dent Res. 1992;71(179): abstract no. 590.

47. Basting RT, Rodrigues JA, Serra MC, Pimenta LA. Shear bond strength of enamel treated with seven carbamide peroxide bleaching agents. J Esthet Restor Dent.2004;16(4):250-260.

48. Strassler HE. Self-etching resin adhesives. Inside Dentistry. 2007;3(2):50-54.

49. Uemori M, Matsuya Y, Akashi A, et al. Composite resin and postoperative sensitivity: clinical follow-up in an undergraduate program. J Dent. 2001;29(1):7-13.

50. Perdigão J, Geraldeli S, Hodges JS. Total-etch versus self-etch adhesive effect on postoperative sensitivity. J Am Dent Assoc. 2003;134(12):1621-1629.

51. Akpata ES, Behbehani J. Effect of bonding systems on post-operative sensitivity from posterior composites. Am J Dent. 2006;19(3):151-154.

52. Perdigão J, Anauate-Netto C, Carmo AR, et al. The effect of adhesive and flowable composite on postoperative sensitivity: 2 week results. Quintessence Int.2004;35(10):777-784.

53.Unemori M, Matsuya Y, Akashi A, et al. Self-etching adhesives and postoperative sensitivity. Am J Dent. 2004;17(3):191-195.

54.Browning WD, Myers M, Downey M, et al. Reduction in post-operative sensitivity: a community based study. J Dent Res. 2006;85(Special Issue B): abstract no. 1151.

55. Gwinnett AJ. Moist versus dry dentin: its effect on shear bond strength. Am J Dent. 1992;5(3):127-129.

56.Lee R, Blank JT. Simplify bonding with a single step: one component, no mixing. Contemp Esthet Rest Practice. 2003;7(5):45-46.

57. Hillam R, Pasciuta M, Cobb D. Shear bond strength of primer/adhesives with proprietary dual cure resin cement. J Dent Res. 2002;81(Special Issue A):A-72, abstract no. 369.

58. Reis A, Dourado Loguercio A, Schroeder M, et al. Does the adhesive strategy influence the post-operative sensitivity in adult patients with posterior resin composite restorations? A systematic review and meta-analysis. Dent Mater. 2015;31(9):1052-1067.

Fig 1. Phosphoric acid etching for sealant placement.

Figure 1

Fig 2. Sealants placed: mandibular first molar and second molar.

Figure 2

Fig 3. Minimally invasive Class II slot preparation: mandibular second premolar.

Figure 3

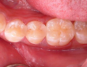
Fig 4. Class II restoration of mandibular second premolar using a self-etch adhesive.

Figure 4

Fig 5. Class III preparation and lingual preparation where adhesive can be etch-and-rinse, self-etch, or universal.

Figure 5

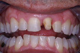
Fig 6. Class IV traumatic fracture of the incisal edges of the maxillary central incisors.

Figure 6

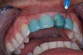
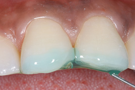
Fig 7. Maxillary incisors etched with phosphoric acid etchant.

Figure 7

Fig 8. Esthetic restoration of the fractured maxillary central incisors with either an etch-and-rinse or universal adhesive with a nanohybrid composite resin.

Figure 8

Fig 9. Porcelain veneer preparations maxillary lateral incisors and right central incisor and all-ceramic crown preparation maxillary left central incisor.

Figure 9

Fig 10. Teeth etched for 15 seconds to use either an etch-and-rinse or universal adhesive for the restoration with porcelain veneers and all-ceramic lucite-reinforced crown.

Figure 10

Fig 11. Immediate postoperative view of porcelain veneers and all-ceramic crown placed using a light-cured resin cement for the veneers and crown.

Figure 11

Fig 12. Mandibular canines and incisors treatment planned for fiber splinting to control tooth mobility.

Figure 12

Fig 13. Etched with phosphoric acid for use of either an etch-and-rinse or universal adhesive for the placement of a fiber-reinforced composite splint.

Figure 13

Fig 14. Fiber splint after placement.

Figure 14

Table 1

Table 1

Table 2

Table 2

CREDITS: 0
AGD CODE: 10 - Dental Materials
COST: $0
PROVIDER: Conexiant Education
SOURCE: Compendium of Continuing Education in Dentistry | October 2018
COMMERCIAL SUPPORTER: Parkell, Inc.

Learning Objectives:

  • Describe the differences between etch-and-rinse, self-etch, and universal resin adhesives and relate these categories to the naming systems used.
  • Discuss the current research evidence to support the techniques being recommended with these new resin adhesives.
  • List the clinical indications and materials and techniques for each category of resin adhesives.

Disclosures:

The author reports no conflicts of interest associated with this work.

Queries for the author may be directed to justin.romano@broadcastmed.com.