Restorative Responsibilities for Achieving Exceptional Implant Esthetics

Jeffrey A. Babushkin, DDS

November/December 2015 Course - Expires Monday, December 31st, 2018

Parkell Online Learning Center

Abstract

The restoration of a dental implant in the esthetic zone requires many steps for a predictable result. There are four different scenarios that the restorative dentist is presented with: immediate placement with immediate load; immediate placement with delayed load; delayed placement with immediate load; and delayed placement with delayed load. Each scenario requires different restorative responsibilities to achieve an esthetic outcome. The ability of the restorative dentist to manipulate the soft tissue to achieve an esthetic tooth replacement and communicate this accurately to the dental laboratory is paramount. Toward this end, the fabrication of a screw-retained provisional, custom transfer coping, and custom healing abutment are discussed.

You must be signed in to read the rest of this article.

Login Sign Up

Registration on CDEWorld is free. You may also login to CDEWorld with your DentalAegis.com account.

Implant dentistry has evolved into a modality that not only replaces the function of missing teeth, but also achieves biomimetics. Patient expectations have demanded a more esthetic, lifelike result. The restorative dentist, as the captain of the implant team, ultimately controls the esthetic outcome that can be achieved.

The esthetic result begins with the pretreatment evaluation. In 2004, Kois1 elucidated five diagnostic keys in determining an implant esthetic result and their inherent risks. These keys are: tooth position/free gingival margin (FGM), gingival form, biotype, tooth shape, and osseous crestal position. These pretreatment parameters are summarized in Table 1.

In order to minimize the risk pretreatment, there are a number of modalities that restorative dentists can initiate to “stack the deck” in their favor. Orthodontics can be used to correct the free gingival margin location by reclining or proclining teeth prior to extraction. Extrusion and intrusion can alter the vertical height of the interdental osseous crest, thereby affecting papilla height.2 Periodontal grafting to properly position hard and soft tissue will facilitate an increased dimension of these tissues and encourage favorable placement.3,4

Tooth Replacement Scenarios

There are two scenarios that the restorative dentist encounters when asked to replace a missing tooth in the esthetic zone.

Tooth Still Present in the Mouth

In the first scenario, the tooth that requires extraction is present in the mouth. The reason for tooth loss can also be used as a predictor of prognostic value for tooth replacement. A tooth lost due to caries has an excellent implant restoration prognosis. A fractured tooth that is nonrestorable due to a traumatic event in an otherwise healthy dentition also has a favorable prognosis. However, a tooth that requires extraction due to severe bone loss from periodontal disease has a more guarded prognosis. A tooth that is fractured secondary to a severe bruxism habit also has an unfavorable implant replacement prognosis.5

Tooth No Longer Present in the Mouth

In the second scenario, the tooth that requires replacement has been lost before the patient is seen by the restorative dentist. This scenario offers its own set of challenges for an esthetically satisfactory outcome. The restorative dentist will need to rely on the ability of the implant surgeon to recreate the implant site with respect to developing adequate hard and soft tissues. Proper diagnostic planning will be required to visualize the ideal tooth and soft-tissue positioning. This can be accomplished with the use of a diagnostic wax-up and provisional restoration for verification. The result of this can be communicated to the implant surgeon with the fabrication of a surgical guide to aid in the proper positioning of the required biology.

Implant Placement Scenarios

There are four scenarios encountered by the restorative dentist regarding implant placement:

• implant immediately placed at the time of tooth extraction that can be immediately loaded (immediate placement with immediate loading)

• implant immediately placed at the time of tooth extraction that cannot be immediately loaded (immediate placement with delayed loading)

• implant to be placed at a future time after tooth loss that can be loaded once the implant is placed (delayed placement with immediate loading)

• implant to be placed at a future time after tooth loss that cannot be loaded until further maturation of osseointegration (delayed placement with delayed loading)

Each of these scenarios is associated with restorative responsibilities that enhance the predictability of the esthetic restorative outcome.

Immediate Placement with Immediate Loading

Of the four scenarios, this is the most predictable esthetically. The protocol for this procedure necessitates that the following preoperative conditions exist6: the free gingival margin of the tooth to be extracted is at the ideal height relative to the surrounding teeth or slightly coronal; the interproximal papilla are ideal in their shape and size, reflecting correct interdental bone height and volume; the tissue biotype has adequate thickness; the zone of attached tissue is at least 3 mm, with gingival color that is similar to the surrounding dentition; there is no evidence of significant parafunction and the occlusal scheme allows for shared load in eccentric movements; there is no infection present that cannot be eliminated during the osteotomy; and adequate bone is available for initial stabilization of the implant.

In a scenario where all the conditions described above are met, the responsibilities of the restorative dentist include: fabrication of a surgical guide; fabrication of a provisional restoration; fabrication of a custom transfer coping; creation of an accurate impression of the implant position and soft tissues; and proper laboratory communication. Lab communication includes noting the material selection for the abutment and restoration, the type of retention for the restoration, and the margin location for a cementable restoration, as well as communicating shade through digital photos. Delivery of the prosthetics requires validation of the components mated with radiographs, complete cement removal if the restoration is cement-retained, and thorough occlusal analysis.

The surgical guide must show the incisal edge position and free gingival margin location required of the final restoration.7 This is especially critical if the adjacent teeth require simultaneous esthetic crown lengthening. After the implant is placed, the restorative dentist must fabricate an immediate provisional restoration. This provisional maintains the soft-tissue position that existed preoperatively.8 A screw-retained provisional allows for ideal tissue management without the liability caused by cement being left behind.9 The provisional should have all the same contours as the tooth it replaced.

One technique for fabricating an immediate provisional restoration involves a vacuum-formed matrix and the extracted tooth. This works best if the restorative dentist will not be seeing the patient the same day the implants are placed. The extracted tooth is sectioned based on the measurement from the fixture head to the incisal edge of the adjacent tooth. The coronal portion of the tooth is then glued into the vacuum-formed matrix, and the emerging root form is used to maintain soft-tissue positioning after implant placement (Figure 1).

The restorative dentist can duplicate the contours of the extracted tooth for the new screw-retained provisional following these instructions: First make an index of implant position with a transfer coping. Then, either pour up a working cast or alter the cast used to fabricate the surgical guide. The cast is altered in the area of the implant fixture to allow the indexed transfer coping to seat with the appropriate analog attached (Figure 2).

Once the stone is set, it is necessary to remove enough stone to allow complete seating of the matrix with the extracted tooth provisional in place. Bite registration vinylpolysiloxane (VPS) is then injected around the tooth root on the stone model to act as a gingival moulage (Figure 3). Once the bite registration material has set, the tooth can be removed from the vacuum form (Figure 4).

A temporary abutment can be placed onto the implant analog and adjusted until the matrix can be seated directly over it. A long coping screw is placed in the temporary abutment, and the vacuum form is perforated to allow for the screw to exit (Figure 5). The vacuum form is loaded with the provisional material of choice and re-placed onto the cast. Once polymerized, the provisional is unscrewed, refreshed, relined, and re-placed onto the model with the soft-tissue outline in bite registration material. The perfect replication of the preoperative tooth emergence contours will now exist (Figure 6).

The provisional is then trimmed of flash and polished, placed into the mouth, and hand tightened. Blanching of the soft tissue is seen as the result of the tissue slumping without the support of the tooth (Figure 7). The provisional is evaluated for proper free gingival margin positioning. The interdental papilla are assessed for volume and height, and the occlusion is checked. If there are any shortcomings, the provisional contours are adjusted. If the gingival margins are more apical than ideal, the cervical area of the provisional is relieved. If the free gingival margin is more coronal than the ideal position, the cervical area of the provisional is bulked out to move the soft tissue apically. Interdental papilla are altered by changing the contact point position, volume, and convexity of the proximal surfaces.10,11 Once the esthetic contours have been developed, a cotton pellet is placed over the screw head, the access hole is filled in with the material of choice, and the occlusion is checked. The goal is to achieve minimal centric contact with no contact in lateral excursions.

When the osseointegration is adequate and the soft-tissue contours are acceptable, an impression is required to communicate the implant fixture orientation in space and the soft-tissue positioning. In order to accurately mimic the contours generated by the approved provisional, a custom transfer coping is then fabricated.

As soon as the provisional restoration is removed from the implant, the soft tissue will begin to slump. If a stock transfer coping is used and impression material is injected around it, the soft tissues will be distorted. The impression will not reflect the proper soft-tissue orientation developed from the provisional. This will result in a final restoration that is deficient in contour accuracy and will be reflected by soft-tissue changes. These changes can be apical or coronal migration of the free gingival margin and/or loss of interdental papilla height. The transfer coping can be made to duplicate the screw-retained provisional contours that were developed esthetically.12,13 This will ensure proper communication to the lab of the exact contours to make the final restoration.

The cast used to fabricate the provisional as described above will work if the provisional was not altered. If it was altered, the screw-retained provisional is placed onto an analog and the analog is partially embedded in stone. (The clinician can stock a few embedded implant analogs of various sizes to expedite this process for future cases.) VPS bite registration material is then injected around the provisional covering the analog. Once set, the provisional is unscrewed, and a direct (open tray) transfer coping placed on the analog. Then, pattern resin (eg, GC Pattern Resin™, GC America, www.gcamerica.com) or flowable composite is flowed around the transfer coping, duplicating the cervical portion of the provisional. This transfer coping can be used to capture the orientation of the implant fixture as well as the soft tissue surrounding it. A radiograph should be taken to verify complete seating of the transfer coping prior to taking the impression, which will appear as shown in Figure 8.

The selection of the type of restoration—cement-retained versus screw-retained—has been addressed by various authors.14,15 The advantages of each are summarized in Table 2. When possible, the author prefers a cement-retained restoration, which appears and functions more like a natural tooth. The main advantage of a screw-retained restoration, retrievability, must be weighed against the increased risk of porcelain fracture, or in the case of a lingual set screw, increased laboratory cost. A cement-retained restoration can be easily converted to a screw-retained restoration if needed by accessing the screw from the lingual. Extra care must be used in the design of the custom abutment such that the margin is placed no more than 2 mm subgingivally to allow for complete cement removal at time of insertion.

Immediate Placement with Delayed Loading

This second scenario exists in the following situations: when there is insufficient hard tissue to achieve adequate stability of the implant; when there are very ovoid tooth roots requiring significant grafting between the socket wall and the fixture body; when labial plates are thin; when there is evidence of parafunction; and in cases of thin biotypes requiring soft-tissue augmentation.

The restorative responsibilities for these case types include the fabrication of a surgical guide (as described in the previous scenario), an immediate custom healing abutment, a provisional restoration, and a custom transfer coping, as well as making an accurate impression of the soft tissue and implant position. Responsibilities also entail thorough laboratory communication and delivery of the restoration.

The fabrication of the custom healing abutment can be done directly in the mouth or indirectly on a cast. The indirect method is similar to the fabrication of the custom transfer coping. The goal is to maintain the soft-tissue position without imparting any load onto the implant. A cast representing the soft tissue is fabricated as described above. If the extracted tooth is intact, the same technique applies: create a working cast, shorten the tooth root to the implant height, place the tooth into a matrix, and inject VPS bite registration material around the root shape. If the extracted tooth is not available, it is necessary to fabricate a working cast and alter the cast by sculpting the correct dimensions of the socket. This usually requires stone removal from the labial and interproximal areas to mimic the contralateral tooth. Sometimes it is necessary to section the contralateral tooth off the cast at the gingival margin to see the correct outline of the gingival cuff.16 Then, the stone is removed down to the head of the analog.

The direct method of fabrication involves placing a temporary abutment onto the implant fixture intraorally, and with a high-speed bur and water, the free gingival margin position is scribed onto the abutment. The abutment is removed and placed onto an abutment-prepping handle. The abutment is shortened to the level of the scribed line denoting the free gingival margin. Flowable composite is then used around the shortened abutment to mimic the shape of the emerging tooth root it is replacing. This requires removal of the abutment, and resin is added in a trial approach until the tissue is supported adequately. The custom healing abutment is polished and contoured concavely in its occlusal dimension to allow for adaptation of a provisional restoration.

Figure 9 shows a custom healing abutment in place; notice the blanching present upon insertion. This reflects the amount of tissue slumping that existed in the short time it took to fabricate the custom healing abutment. An advantage of this type of healing abutment is that it allows a removable provisional restoration to be made for the patient. The main shortcoming of the removable type of provisional, however, is that the soft-tissue support gained from the pontic is only present while the provisional is worn, making this approach highly dependent on patient compliance. If the patient leaves the provisional out for extended periods of time or loses it, the soft tissue will no longer be held in the proper relationship. By having the custom healing abutment underneath the removable prosthesis, the soft tissues are always being held in the proper position. It can also be used under bonded provisionals as well.

The remainder of the restorative dentist’s responsibilities in this scenario are the same as in the first scenario: screw-retained provisional, custom transfer coping, accurate impression, thorough laboratory communication, and delivery of the prosthesis.

Delayed Placement with Immediate Loading

This scenario exists when there is inadequate biology at the time of tooth loss to place the dental implant; or when an infection outside the boundaries of the proposed osteotomy is present; or in cases where the tooth was extracted without a treatment plan present to replace the tooth with a dental implant restoration. Increased risks associated with this scenario, including loss of soft-tissue support, loss of hard tissue, and the need for multiple provisionals, make this a challenging situation.

Restorative responsibilities unique to this scenario revolve around the provisionals. Depending on the amount and the nature of the grafting, a different provisional will be indicated. If multiple surgeries are necessary to augment the surrounding tissues, bonded type bridges become maintenance liabilities. A fixed conventional provisional is ideal if the adjacent teeth need to be restored. A variety of removable prostheses would also work—including a flipper, an Essex retainer with a denture tooth, and a snap-on appliance such as Snap-On Smile® (DenMat Holdings, LLC, www.denmat.com), to name several.

Once the implant is finally placed, the responsibilities shift to one of the above scenarios. If the implant can be loaded at the time of placement, it then becomes an immediate placement/immediate load case, and a screw-retained provisional is fabricated as above. If it is placed and cannot be loaded, the scenario then changes to immediate placement/delayed loading, in which case the custom healing abutment is fabricated and the previously described protocol is followed through delivery.

Delayed Placement with Delayed Loading

In the author’s experience, this scenario is the most difficult to predictably restore with ultimate esthetics. This usually presents in situations where there is a severe ridge defect, inadequate soft tissue, significant infection outside the osteotomy, evidence of parafunction, or when there is a need for other specialty procedures such as orthodontics. Once the biology has been augmented and the implant is to be placed, there is usually significant tissue recontouring that needs to be accomplished with the use of the provisional. In this scenario, often times the implant surgeon tends to overcorrect and over-plump the soft tissues.

The restorative responsibilities in this scenario again are based on the initial pre-implant provisionalization. If multiple surgeries are necessary, the best provisional will be a removable unit that can be easily altered so there is no pressure placed over the grafted site. Once the implant is placed, a bonded type of provisional can be placed. In these cases, the author prefers to use a combination provisional that has a bonded bridge incorporated into an Essex retainer (Figure 10). This yields a removable provisional that can be converted to a fixed provisional. If orthodontics is used, a pontic tooth can be attached to the arch wire. This provisional will remain until the implant is uncovered and deemed ready to be loaded. Once the implant can be loaded, the case resembles the aforementioned first scenario and a screw-retained provisional is placed. This provisional is usually fabricated indirectly on a working cast to approximate ideal contours. The patient is then monitored every 4 to 6 weeks for contour correction of the provisional until ideal soft tissue results. To achieve this, the patient may have to return to the implant surgeon for additional soft-tissue augmentation or gingival plasty. Once the patient and the dentist are satisfied with the soft-tissue profile, a custom transfer coping is fabricated as in the first scenario, duplicating the contours of the provisional. The case proceeds through delivery as previously described.

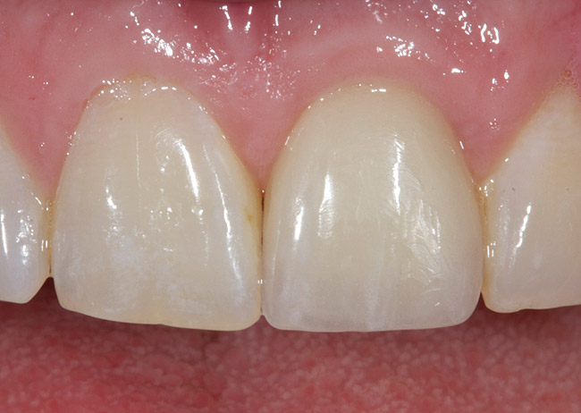
Conclusion

Achieving outstanding esthetics with implant dentistry is a reality (Figure 11 and Figure 12). Restorative efforts require disciplined steps to attain predictable results. To paraphrase my mentor, Cary Shapoff, DDS, renowned for his knowledge of periodontal disease treatment, bone grafting procedures, and dental implant surgery, implant esthetics is a series of well-planned, well-executed small steps that add up to a successfully restored fixture.

DISCLOSURE

The author declares no financial interest in any of the products mentioned in this article.

ABOUT THE AUTHOR

Jeffrey A. Babushkin, DDS
Private Practice, Trumbull, Connecticut

REFERENCES

1. Kois JC. Predictable single-tooth peri-implant esthetics: five diagnostic keys. Compend Contin Educ Dent. 2004;25(11):895-907.

2. Salama H, Salama M. The role of orthodontic extrusive remodeling in the enhancement of soft and hard tissue profiles prior to implant placement: a systematic approach to the management of extraction site defects. Int J Periodontics Restorative Dent. 1993;13(4):312-333.

3. Phillips K, Kois JC. Aesthetic peri-implant site development. The restorative connection. Dent Clin North Am. 1998;42(1):57-70.

4. Zadeh HH. Implant site development: clinical realities of today and the prospects of tissue engineering. J Calif Dent Assoc. 2004;32(12):1011-1020.

5. Spear F. Advanced Esthetic and Restorative Management Seminar. April 2003; Orlando, FL.

6. Evans CD, Chen ST. Esthetic outcomes of immediate implant placements. Clin Oral Implants Res. 2008;19(1):73-80.

7. Saadoun AP, LeGall M, Touati B. Selection and ideal tridimensional implant position for soft tissue esthetics. Pract Periodontics Aesthet Dent. 199;11(9):1063-1072.

8. Chee W, Donovan, T. Use of provisional restorations to enhance soft-tissue contours for implant restorations. Compend Contin Educ Dent. 1998;19(5):481-489.

9. Al-Harbi SA, Edgin WA. Preservation of soft tissue contours with immediate screw-retained provisional implant crown. J Prosthet Dent. 2007;98(4):329-332.

10. Weisgold AS. Contours of the full crown restoration. Alpha Omegan. 1977;70(3):77-89.

11. Su H, Gonzalez-Martin O, Weisgold A, Lee E. Considerations of implant abutment and crown contour: critical contour and subcritical contour. Int J Periodontics Restorative Dent. 2010;30(4):335-343.

12. Elian N, Tabourian G, Jalbout ZN, et al. Accurate transfer of peri-implant soft tissue emergence profile from the provisional crown to the final prosthesis using an emergence profile cast. J Esthetic Restorative Dent. 2007;19(6):306-314.

13. Hinds KF. Custom impression coping for an exact registration of the healed tissue in the esthetic implant restoration. Int J Periodontics Restorative Dent. 1997;17(6):584-591.

14. Chee W, Jivraj A. Screw versus cement retained restorations. Brit Dent J. 2006; 201(6):501-507.

15. Wilson TG Jr. The positive relationship between excess cement and peri-implant disease: a prospective clinical endoscopic study. J Periodontol. 2009;80(9):1388-1392.

16. Gobbato L, Tsukiyama T, Levi PA, et al. Analysis of the shapes of maxillary central incisors in a Caucasian population. Int J Periodontics Restorative Dent. 2012;32(1):69-78.

Table 1

Tooth glued to vacuum-formed matrix.

Figure 1

Cast altered so indexed transfer coping can seat with appropriate analog attached.

Figure 2

VPS injected around the tooth root on the stone model.

Figure 3

Tooth can be removed from vacuum form after bite registration material has set.

Figure 4

Long coping screw placed in temporary abutment; vacuum form has been perforated to allow for screw exit.

Figure 5

Provisional fabricated, maintaining ideal preoperative soft-tissue position.

Figure 6

Blanching of the soft tissue.

Figure 7

Custom transfer coping in impression.

Figure 8

Table 2

Custom healing abutment in place, with blanching present upon insertion.

Figure 9

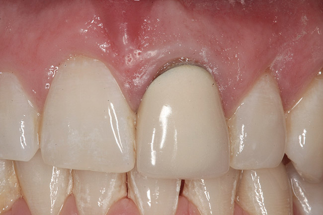
Preoperative photograph.

Figure 11

Postoperative photograph of patient shown in Fig 11 after immediate implant placement with immediate loading, tooth No. 9.

Figure 12

CREDITS: 0
AGD CODE: 690 - Implants
COST: $0
PROVIDER: Conexiant Education
SOURCE: Parkell Online Learning Center | November/December 2015

Learning Objectives:

  • assess pre-extraction risks for implant esthetic success
  • discuss the four scenarios for restoring dental implants in the esthetic zone and describe the restorative responsibilities for each scenario
  • explain the technique for fabricating a custom transfer coping and custom healing abutment

Disclosures:

The author reports no conflicts of interest associated with this work.

Queries for the author may be directed to justin.romano@broadcastmed.com.